Nantes2Le poste d'Assistant Hospitalier est proposé aux EFR du CHU de Nantes.

L'activité d'environ 15000 actes par an y est très diversifiée, en étroite collaboration avec les services de pneumologie, de cardiologie, d'hématologie et de médecine interne sur les sites de l'Hôtel-Dieu (en centre-ville) et de l'hôpital Nord-Laennec.

Le service est doté de toutes les techniques EFR actuelles, allant du  socle spirométrie-pléthysmographie-transfert du CO, aux tests de provocation bronchique (méthacholine,  hyperventilation isocapnique), à la mesure du NO, à l'oscillométrie d'impulsion (IOS), la mesure en double diffusion CO/NO, et les tests d'effort-VO2.

Il est souhaité un médecin titulaire du DES de pneumologie avec une expérience préalable en EFR.

Ce poste est proposé pour une durée  d'un an, mais le terme pourrait être prolongé en fonction de l'évolution de la situation sur le secteur. 

Pour de plus amples informations, vous pouvez joindre :  

 

Nous sommes exactement à 4 mois de la déclaration de l'OMS qualifiant cette infection au coronavirus SARS-Cov2 de pandémie, l'allure évolutive de la maladie s'accélère, elle gagne de nouveaux territoires et se concentre essentiellement au continent Américain plus particulièrement aux états unis et au Brésil, le nombre de cas confirmés dépasse les 12,5 millions avec un nombre de décès de 560 milles, soit un bilan qui a doublé en 2 mois.
Comment va évoluer cette pandémie ? Quelles seront les répercussions sur le monde de la santé, nos facultés, nos hôpitaux ? La masse des articles scientifiques double tous les vingt jours, sans parler des éditoriaux, des entretiens. Les mots sont usés. Une question demeure : sur quelles bases préparons nous la rentrée ?
Continuez à nous écrire.
Nous avancerons ensemble.

Carte en temps réel » Carte 3D » Statistiques en temps réel » Situation en Afrique » Prévisions à huit jours » Site de l'OMS » World in Data »

Les visioconférences sur le COVID fleurissent de toute part et c'est très bien. Cette pandémie aura démontré que l’information numérique et interactive peut désormais circuler très vite entre nos pays.
Au sein de la CIDMEF, en partenariat avec l’AUF et la SPLF/EFP, nous avons une expérience de 100 visioconférences d’actualité en 5 ans. Nos échanges sont efficaces, permanents et immédiats. » Plus rien ne sera comme avant »

Parmi les visioconférences COVID les plus récentes et qui concernent la communauté francophone :

Cette visioconférence est déposée sur le site de l’AUF et de la SPLF/EFP Merci au Pr CRESTANI pour cette excellente conférence de recherche à la fois clinique et biomédicale. La Prochaine visioconférence organisée par la FéGOG (Fédération Francophone d’Obstétrique et de Gynécologie) , la CIDMEF, l’AUF, la SPLF-EFP Mercredi 29 juillet Covid et Grossesse en Afrique : quelles leçons tirer de l’expérience vécue ? Intervenants :
Pr Chekib Moueli : Covid 19 et Grossesse en Afrique du Nord (expérience de la Tunisie)
Pr Serge BONI : Covid 19 et Grossesse en Afrique sub-Saharienne du Nord (expérience de la Côte d’Ivoire)
Pr Cheikh Tidaine CISSE : Covid 19 et Grossesse, réorganisation des soins obstétricaux en milieu africain Horaire : 16h heure de Paris, 10h heure de Montréal, 15h heure de Rabat, Alger, Tunis, Kinshasa, Cotonou, Bangui et Libreville, 17h heure à Antananarivo, 18h heure à Beyrouth, Damas, Maurice et la Réunion

Rejoindre la réunion » Webinaires SPLF »

L'EFP vous invite à visionner le Webinaire de l'association Franco-Tunisienne de Pneumologie tenu le vendredi 10 juillet 2020 avec pour thème : Le Traitement instrumental non invasif de la détresse respiratoire de l'infection COVID. Le webinaire a été animé par Pr Jesus Gonzalez  Pneumologue praticien hospitalier, Professeur a la faculté de médecine Sorbonne-université Département R3S, réanimation, réhabilitation, respiration et sommeil, hôpital de la Pitié-Salpêtrière et coordonateur du groupe assistance ventilatoire et oxygène GAVO2 de la SPLF Modération : Dr Lassaad Fakhfakh Pneumologue, Président de l'AFTP et Pr Besma Ourari Pneumologue et Professeur à la faculté de médecine de Tunis.

Visionner le webinaire »

Au fur et à mesure de l'évolution de la pandémie au coronavirus SARS-Cov2, des disparités de sa répartition géographique et de sa morbi-mortalité sont constatées, ceci a suscité des interrogations et a été l'objet de plusieurs travaux scientifiques.
Cette conférence présentée au webinaire de l'AFMAPATH le mardi 7 juillet a dressé une analyse de la situation dans le but d'apporter des explications à ce constat de disparité qui a caractérisé cette pandémie.

Télécharger la présentation »

La 25ème édition du Congrès de Pneumologie de Langue Française - 25e CPLF se tiendra à Lille du 29 au 31 janvier 2021. Les thèmes principaux choisis cette année sont l'infectiologie et le sommeil.
La date limite de soumission des résumés a été fixée au 11 septembre 2020, la soumission des travaux est accessible via ce lien.

A ce sujet , l’EFP offrira l’inscription au CPLF et pourra apporter son aide au voyage et au logement selon les pays et selon un quota par pays en cours de finalisation (comme les années précédentes).
Ces dispositions sont réservées aux jeunes de moins de 35 ans, dont un travail aura été accepté par le Conseil scientifique de la SPLF, cela concernera le premier auteur de ce travail. L'inscription internet au tarif préférentiel prend fin le 12 janvier 2021, veuillez cliquer ici pour en savoir plus et ici pour vous inscrire.

Sessions » Programme »

COVID-19 : Cas recensés – Hygiène
Enquêtes un jour donné auprès des services de pneumologie (France et Espace francophone)

Voici les résultats de cinq enquêtes, qui étaient renouvelées tous les 15 jours jusqu’à la fin de la phase épidémique de l’épidémie de Covid-19.
Nous vous remercions vivement d’avoir consacré un peu de votre précieux temps à y répondre. Les questionnaires sont composés de manière à demander moins de 5 minutes pour les compléter. Vous trouverez dans le document fourni une synthèse des résultats. 
Cette enquête est l’occasion de recueillir des témoignages très éclairants en commentaires libres. 
Ont participé à l'étude 64 services dont 62 de pneumologie, 28 CHU dont 7 de l'espace Francophone, 17 CHG, 11 cliniques privée, 3 SSR et 5 autres établissements. Totalisant 2781 lits : 1920 en France et 861 issus d'autres pays.
L’enquête sera renouvelée tous les 15 jours

Télécharger la présentation »

« Ce qui est incroyable, c’est qu’à une époque où l’on est capable de manipuler le génome, avec une médecine qui se montre triomphante, la réponse à une maladie émergente a été celle qu’on applique depuis trois siècles face à une épidémie: l’isolement et le confinement… La médecine novatrice n’a pas encore trouvé sa place dans cette maladie. Elle la trouvera sûrement demain, avec des médicaments ciblés contre le coronavirus et peut-être un vaccin, mais ce n’est pas encore le cas.
En attendant, nous avons à construire un lien et une relation plus claire entre science et société, et entre science et politique »

Pr Delfraissy, Président du Conseil Scientifique
Journal Libération du 8 juillet

Sur le blog « rédaction médicale et scientifique » d’Hervé Maisonneuve, nous apprenons : La science après la pandémie : rien ne sera pareil d'après une série 'collector' de 8 articles dans la revue Nature.
1. Les Universités ne seront plus les mêmes après la crise
2. Pandémie : chômage pour les chercheurs ou l’inverse ?
3. Les congrès virtuels vont perdurer après la crise
4. Le torrent des pré-prints a changé les pratiques
5. Impact sur les relations scientifiques Chine-USA
6. Les collaborations scientifiques vont changer
7. Les essais thérapeutiques ont été modifiés par la pandémie
8. Les chercheurs qui se sont penchés sur le coronavirus vont-ils revenir à leur sujet de recherche antérieur ?

Dossier 9 Capacités des structures de santé en Afrique francophone au Sud du Sahara lors de la pandémie COVID
Récapitulatif par le groupe COVID Afrique U. Télécharger l'article
Redoutant un développement très rapide du nombre de cas, les instances internationales telle l’OMS ont jugé les capacités de réponse des structures de santé inquiétantes.
En effet, selon des virologues africains, la situation continentale pouvait se dégrader très rapidement. L’agence onusienne s’est inquiétée du risque élevé de saturation des centres de santé susceptibles d’être rapidement être submergés en cas de propagation massive du virus. « Même en Afrique du Sud, où les systèmes de santé public et privé sont parmi les plus développés du continent, ce sera un défi. Car il y a trop peu de lits dans les hôpitaux d’Afrique », constatait Matshidiso Moeti, directrice régionale de l’OMS pour l’Afrique.
C’est la raison pour laquelle la stratégie était d’éviter au maximum la multiplication des cas. « Nous mettons en place des mécanismes préventifs pour éviter une destruction de ces dispositifs de santé », insistait cette dernière...

Une nouvelle revue Cochrane évalue la précision des tests d'anticorps pour détecter le COVID-19
Cochrane Systematic Review - Diagnostic Etude publiée: 25 Juin 2020

Une nouvelle revue Cochrane évalue la précision des tests d'anticorps pour détecter le COVID-19.
L'étude montre que les tests d'anticorps pourraient avoir un rôle utile pour détecter si quelqu'un a eu COVID-19, qui est d'ailleur une information importante. Les tests étaient plus efficaces pour détecter COVID-19 chez les personnes deux semaines ou plus après le début de leurs symptômes, mais nous ne savons pas dans quelle mesure ils fonctionnent plus de cinq semaines après le début des symptômes.
Nous ne savons pas si cela est vrai pour les personnes qui ont une forme bénigne ou asymptomatique, car la majorité des études de la revue systématique ont été principalement effectuées chez des personnes hospitalisées.

Consulter l'article »

Recommendations pour l'utilisation de la Dexamethasone chez les patients COVID

Suite aux résultats d'un grand essai multicentrique, randomisé, mené auprès de patients hospitalisés au Royaume-Uni ayant montré que les patients randomisés pour recevoir de la dexaméthasone avaient un taux de mortalité réduit par rapport à ceux qui recevaient des soins standard.
Le comité des recommandations thérapeutiques COVID-19 recommande l'utilisation de la dexaméthasone (à une dose de 6 mg par jour pendant 10 jours maximum) chez les patients atteints de COVID-19 ventilés mécaniquement et chez les patients atteints de COVID-19 qui nécessitent de l'oxygène non ventilés.

The National Institutes of Health COVID-19 Treatment Guidelines Panel

Document long » Document court »

Aucun bénéfice clinique de l'utilisation du lopinavir-ritonavir chez les patients hospitalisés COVID-19. Essai Recovery

En mars 2020, l'essai RECOVERY a été établi comme un essai clinique randomisé pour tester une gamme de traitements potentiels pour COVID-19, y compris le lopinavir-ritonavir.
Au cours des dernières semaines, l'essai a rapporté les résultats de deux de ces traitements. Il n'a montré aucun avantage de l'hydroxychloroquine dans cette population et qu'il n'y a aucun effet bénéfique du lopinavir-ritonavir chez les patients hospitalisés avec COVID-19
En revanche, la dexaméthasone à faible dose a réduit le risque de décès d'environ un tiers chez les patients sous ventilation et d'un cinquième chez ceux nécessitant de l'oxygène seul
RECOVERY continue de recruter des patients pour permettre l'étude de l'azithromycine, du tocilizumab et du plasma de patients convalescents. Il est prévu que d'autres traitements seront inclus pour étude à l'avenir.

Consulter les résultats de l'étude »

Ressources utiles

Bibliovid : Veille scientifique actualisée sur le COVID-19
Ressources utiles du Collège Royal des Médecins et Chirurgiens du Canada.
COVID-19 Fiches pratiques
pour les équipes de soins en médecine de ville, milieu hospitalier, en réanimation et en EHPAD.
Kinésithérapie et Covid-19 de la réanimation à la réhabilitation, GTK, (vidéo) au 07/05/2020
Ada COVID-19 : un site pour identifier les cas suspects. Utile pour les médecins, infirmiers et la population. Possibilité d’agréger les données pour des études de cohortes.
COREB Infectiologie page dédiée à l'infection COVID-19. Etat des connaissances Version du 8 juin 2020.
Base documentaire de l’AP-HP sur le Covid-19
Santé mentale en période de pandémie : vidéos de l’Université de Montréal-Hôpital Sainte Justine, ainsi que des documents en annexe. 
Bulletin de l’Association Pulmonaire du Québec consacré au COVID-19
Bulletins d'information de la société Tunisienne des maladies respiratoires et d'allergologie STMRA consacré au Covid

 

 

Au total, le virus Sars-Cov-2 a contaminé plus de 8,698 millions de malades dans le monde et causé 460 783 décès, selon les statistiques de l'Université John Hopkins. Les vacances d'été approchent, les frontières intérieures de l'Europe ouvertes depuis le lundi 15 juin, et les frontières extérieures, c'est-à-dire, avec les autres pays hors Union européenne, interviendra à partir du 1er juillet.
Les bilans s’alourdissent encore aux USA, au Brésil et au Mexique, ces trois pays présentent à eux seuls : 40% des nouveaux cas, 48,3% des nouveaux décès et 47% des cas critiques de la planète. Avec un total de 1 850 913 cas conformés et 48 954 morts recensés, le Brésil est le deuxième pays le plus endeuillé par le Covid-19, derrière les Etats-Unis.
En Afrique, on assiste à une nette accélération de la propagation du virus, en effet le  nombre de cas confirmés a doublé ces 20 derniers jours. L'Afrique compte à ce jour un peu plus de 287 160 cas et 7 691 décès, et 10 des 54 pays d'Afrique recensent 80% des cas, en tête : l'Afrique du Sud, l'Egypte, le Nigeria, l'Algérie.

Carte en temps réel » Carte 3D » Statistiques en temps réel » Situation en Afrique » Prévisions à huit jours » Site de l'OMS »

 

Vous avez été très nombreux à suivre la conférence du Pr Jacques Barrier, le jeudi 4 juin, intitulée :
Pandémie COVID-19 en Afrique : conséquences sociales.
Nous avons transmis vos félicitations et vos remerciements à Jacques Barrier.
Cette visioconférence est disponible sur le site de l’AUF et sur le site SPLF/EFP

La prochaine visioconférence organisée conjointement par la CIDMEF, AUF et SPLF-EFP, se tiendra le Jeudi 2 juillet présentée par le Pr Bruno Crestani, chef de service de Pneumologie à l’hôpital Bichat – Claude-Bernard à Paris. Coordonnateur du centre de référence constitutif des maladies pulmonaires rares de l’adulte et du DHU FIRE (Fibrose, Inflammation et Remodelage).
Titre : Prise en charge des patients atteints par le COVID-19 après la phase aigüe. Horaires : 10h heure de Montréal, 14h heure de Bamako, Dakar, Conakry, Abidjan, Bouaké et Ouaga, 15h heure de Tunis, Rabat, Alger, Kinshasa, Cotonou, Bangui et Libreville, 16h heure de Paris, 17h heure de Beyrouth, Damas, Antananarivo et Majunga, 18h heure de Maurice et la Réunion.

Rejoindre la réunion » Télécharger Teams »

Nous vous proposons de découvrir cette conférence du Pr Olivier Sibony sur la prise de décision et biais cognitif avec pour exemple l'infection COVID-19 présentée dans le cadre des séries des webinaires de HEC Paris.

Visionner la conférence »

La Société de Pneumologie de Langue Française, l'Espace Francophone de Pneumologie, La Société Africaine de Pneumologie de Langue Française, La Société Suisse de Pneumologie et la Société Tunisienne des Maladies Respiratoires & d’Allergologie, organisent un webinaire le jeudi 25 juin de 19h00 à 21h00 heure de Paris intitulé : Regards croisés face à l'infection COVID

Au programme :
1. Tests diagnostiques : que nous disent ils ? comment les utilisons nous ?
2. Pneumopathie Covid quels supports respiratoires en dehors des soins intensifs? 3. Données épidémiologiques africaines : impact des antipaludéens ?
4. Encéphalopathie liée au virus SARS-Cov2 SACRE
5. Questions - Réponses Animation : Dr Frank Soyez (Paris) – Pr Agnès Hamzaoui (Tunis)
Intervenants : Dr Leïla Slim (Tunis) – Pr Dan Adler (Genève) – Pr Yakoba Toloba (Bamako) – Pr Gilles Allali (Genève)

Rejoindre le webinaire »

L’AUF débloque un million d’euros pour soutenir les initiatives universitaires liées à la COVID-19.
Dans le cadre de son plan d'action spécial COVID-19, l’Agence Universitaire de la Francophonie (AUF) a lancé, du 10 avril au 5 mai 2020, un appel à projets international pour soutenir, au sein de ses établissements membres, des initiatives d’étudiant·e·s, d'élèves ingénieur·e·s et de jeunes chercheur·e·s liées à la pandémie.
L’objectif de cet appel à projets était d’accompagner la réponse de la communauté universitaire à la pandémie et de soutenir le développement de solutions à impact technologique et/ou social immédiat.
La subvention permettra de financer 92 projets issus de 87 établissements membres dans 44 pays, pour une durée allant de trois à six mois.

En savoir plus »

Capsules vidéos pour sensibiliser et former les soignants des pays francophones face à l’épidémie

L’AUF et l’Ecole des hautes études en santé publique (EHESP, France), mettent à disposition des professionnels de santé un ensemble d’informations, recommandations et conduites à tenir.
Ce corpus de « capsules vidéos » élaboré par le centre d’appui à la pédagogie (CApP) de l’EHESP permet de sensibiliser et de former les soignants de tous les pays francophones à faire face à l’épidémie de coronavirus. Pour découvrir les capsules vidéos :

Organisation de la lutte contre la COVID19

Pr Philippe Fraisse - GREPI
Société de Pneumologie de Langue Française SPLF
Version du 11-06-2020 (pdf)

Télécharger la présentation »

COVID-19 - Dépister et prendre en charge un patient en contexte épidémique - Consultation du médecin de 1ère ligne

Dans le contexte actuel de pandémie à COVID-19, le 1er contact – présentiel au cabinet, ou téléconsultation, ou en ES – d’un patient suspect avec le système de soins est essentiel. Il s’agit pour ces médecins de 1ère ligne de réaliser une évaluation clinique permettant de repérer et traiter les patients atteints, notamment ceux à risque de formes graves, et de mettre en place les mesures barrières adéquates, pour protéger au mieux les patients, leur entourage et le reste de la collectivité.

Télécharger le document »

Revue de la littérature

Infolettre de l'APQ

Consulter ici l'infolettre de l'association pulmonaire du Québec APQ consacrée à l'infection COVID-19 du 15 juin 2020 et ici l'ensemble des infolettres de l'APQ

GLUCOCOVID : Essai contrôlé de méthylprednisolone chez des adultes hospitalisés pour pneumonie au COVID-19

Cette étude a cherché à déterminer si une cure intraveineuse de méthylprednisolone (MP) de 6 jours améliore les résultats chez les patients infectés par le SRAS CoV-2 à risque de développer un syndrome de détresse respiratoire aiguë (SDRA).

Elle a pu démontrer qu'une courte cure de MP a eu un effet bénéfique sur les résultats cliniques d'une pneumonie grave au COVID-19, diminuant le risque d'admission aux soins intensifs, de besoin de VNI ou de décès.

medRxiv, publié en ligne le 18 juin 2020

Télécharger l'article »

Apport limité des antibiotiques dans l'infection COVID-19: rares preuves de co-infection bactérienne

Les données décrivant les co-infections bactériennes, les schémas de prescription d'antibiotiques associés et le rôle potentiel de la gestion des antimicrobiens dans les soins aux patients infectés par le SRAS-CoV-2 sont limitées.
Les antibiotiques sont probablement inutiles chez les patients présentant des symptômes bénins. Les antibiotiques à large spectre ne jouent qu'un rôle limité dans le traitement empirique des germes multirésistants chez les patients atteints de COVID-19, quelle que soit la gravité de la maladie.

medRxiv, publié en ligne le 18 juin 2020

Télécharger l'article »

Diabète et COVID-19: risques, gestion et enseignements tirés d'autres catastrophes nationales

Les preuves relatives à l'impact du COVID-19 chez les personnes atteintes de diabète sont limitées mais continuent d'émerger. Les diabétiques semblent courir un risque accru d'infection au COVID19 plus grave, bien que les preuves quantifiant le risque soient très incertaines.
La mesure dans laquelle les facteurs cliniques et démographiques modèrent cette relation n'est pas claire, bien que des signaux émergent qui lient un IMC plus élevé et un taux d'HbA1c plus élevé à de moins bons résultats chez les diabétiques atteints d'infection COVID-19. … Diabetes Care Publié en ligne le 16 juin

Télécharger l'article »

Effet de la thérapie par plasma dans l'infection COVID-19 sévère et potentiellement mortelle

Chez les patients atteints de COVID-19 sévère ou menaçant le pronostic vital, la thérapie par plasma ajoutée au traitement standard, par rapport au traitement standard seul, n'a pas entraîné une amélioration statistiquement significative du temps nécessaire à l'amélioration clinique dans les 28 jours. JAMA. 3 juin 2020
Ling Li et Al.

Source de l'article »

Faux tests négatifs dans l'infection par SARS-CoV-2 défis et implications

Les tests de diagnostic aideront à lever le confinement des pays en toute sécurité si les tests sont très sensibles et validés.
La mesure de sensibilité des tests chez les personnes asymptomatiques est une priorité urgente.
Les résultats négatifs, même sur un test très sensible, ne peuvent pas exclure une infection si la probabilité du prétest est élevée …

New England Journal of Medicine. 8 juin
Steven Woloshin et Al.

Consulter l'article »

Prévention, diagnostic et traitement de la MTEV chez les patients atteints de COVID-19

Les recommandations contenues dans ce document ont été spécifiquement conçues pour répondre aux questions cliniques urgentes courantes que les prestataires de soins de première ligne sont susceptibles de rencontrer concernant la maladie thromboembolique veineuse et l'hypercoagulabilité chez les patients atteints de COVID-19. CHEST Guideline and Expert Panel Report. 2 juin 2020
Lisa K. Moores et Al.

Consulter l'article »

Ressources utiles

Bibliovid :
Veille scientifique actualisée sur le COVID-19
Ressources utiles du Collège Royal des Médecins et Chirurgiens du Canada.
COVID-19 Fiches pratiques
pour les équipes de soins en médecine de ville, milieu hospitalier, en réanimation et en EHPAD.
Kinésithérapie et Covid-19 de la réanimation à la réhabilitation, GTK, (vidéo) au 07/05/2020
Ada COVID-19 : un site pour identifier les cas suspects. Utile pour les médecins, infirmiers et la population. Possibilité d’agréger les données pour des études de cohortes.
COREB Infectiologie page dédiée à l'infection COVID-19. Etat des connaissances Version du 8 juin 2020.
Base documentaire de l’AP-HP sur le Covid-19
Santé mentale en période de pandémie : vidéos de l’Université de Montréal-Hôpital Sainte Justine, ainsi que des documents en annexe. 

 

 

L’Europe cherche la voie du déconfinement. L’explosion tant redoutée chez nos amis africains n’a pas lieu. Ce sont les deux enseignements de cette quinzaine. Il suffit de se reporter aux chiffres du Institute of Global Health de Zürich pour constater cette évolution (lien ci-dessous). Pour autant, le temps n’est pas venu de baisser la garde. Les épidémies grippales n’ont pas la même évolution en Afrique et en Europe. Le covid-19 est un virus redoutable par sa létalité, surtout par sa capacité à désorganiser l'économie et l'organisation sociale, mais aussi par l'incertitude qui l'entoure. La difficulté de la gestion publique de la pandémie peut se penser comme un trilemme ou « triangle d’impossibilité » de Hubert Kempf telos-eu.com Nous vous remercions de votre abondant courrier au moment des visioconférences et après.
Notre comité éditorial est toujours très heureux de vous lire.

Carte en temps réel » Carte 3D » Statistiques en temps réel » Situation en Afrique » Prévisions à huit jours » Site de l'OMS »

 

Des chercheurs reconstruisent le virus SRAS-CoV-2 à l’aide de la génomique synthétique

Des chercheurs en Suisse et en Allemagne ont mis au point une plate-forme de génomique synthétique à base de levure capable de reconstruire rapidement divers virus ARN, y compris le SRAS-CoV-2. La capacité de reconstruire les virus à partir de parties de leurs génomes a permis aux chercheurs d’obtenir des informations sur la pathogénie virale et le développement de vaccins. Mais les génomes de grands virus, comme ceux des coronavirus, sont encombrants à cloner et à manipuler parce qu’ils sont trop grands et peuvent être parfois instables. Par conséquent, comme alternative, ils ont développé une plate-forme de génomique synthétique à base de levure pour reconstruire génétiquement les virus ARN, y compris les membres des familles Coronaviridae, Flaviviridae et Paramyxoviridae. Ils ont généré des fragments sous-génomiques viraux à l’aide d’isolats viraux, d’ADN viral cloné, d’échantillons cliniques ou d’ADN synthétique, qu’ils ont réassemblés en une seule étape dans le cerevisiae saccharomyces à l’aide du clonage de recombinaison associée à la transformation (TAR). Cette technique a maintenu chaque génome viral comme chromosome artificiel (YAC).

Télécharger l'article »

La conférence du Dr Jean François Lemoine, le jeudi 7 mai, a été un succès : plus de 200 participants. Après la visioconférence du Pr Antoine Flahault, épidémiologiste reconnu mondialement sur la COVID-19, nous avions besoin d’un point d’étape fait par un médecin journaliste expert qui suit l’actualité scientifique et sociétale au quotidien. Ces deux visioconférences sont disponibles sur le site de l’AUF et sur le site SPLF/EFP

Webinaire de la SPLF le 28/05/2020 de 18h à 20h

- Quels sont les différents profils en réanimation ? 
- Quelles sont les séquelles prévisibles ? 
- Les traitements des formes sévères : que sait-on ?
Animation : Pr Antoine Magnan (Nantes) – Dr Philippe Fraisse (Strasbourg)
Intervenants : Pr Jesus Gonzalez (Paris) – Pr Bruno Crestani (Paris) – Pr Claire Andrejak (Amiens)

Webinaires de la SPLF »

Prochaines visioconférences pandémie COVID-19 organisées conjointement par la CIDMEF, SPLF-EFP et AUF

Jeudi 28 mai : Pr Pavel Hamet, médecin, chercheur et professeur titulaire au Québec, récipiendaire de la Chaire de recherche du Canada en génomique prédictive, professeur de médecine à l’Université de Montréal, professeur associé au département de médecine expérimentale à l’Université McGill et à la faculté de médecine de l’université Charles de Prague
Titre : Covid et hypertension: le voile se lève. Horaire: 16h heure de Paris, 10h heure de Montréal Jeudi 4 juin : Pr Jacques Barrier, professeur émérite Université de Nantes (France), ancien Président du Conseil pédagogique de la CIDMEF, ancien président de la Fédération des Spécialités Médicales (France)
Titre : Pandémie Covid-19 en Afrique: conséquences sociales Horaire: 16h heure de Paris

Jeudi 18 juin : Pr Bruno Crestani, chef de service de Pneumologie de l’hôpital Bichat – Claude-Bernard à Paris. Coordonnateur du centre de référence constitutif des maladies pulmonaires rares de l’adulte et du DHU FIRE (Fibrose, Inflammation et Remodelage).
Titre : prise en charge des patients atteints par le COVID-19 après la phase aigüe. Horaire : 16h heure de Paris

Rejoindre la réunion du 28 mai 2020 » Mode d'emploi »

Toutes les réponses de L’AFD à la crise de Covid-19

Depuis le mois de mars, l’Agence française de développement (AFD) se mobilise pour apporter des réponses à l’urgence sanitaire et économique et traduire en actions les engagements du gouvernement français en matière de soutien aux pays prioritaires de l’aide publique française au développement.
Cette page recense l’ensemble des initiatives lancées par l’AFD dans le cadre de la lutte contre le Covid-19 et ses conséquences. Elle est régulièrement mise à jour.

En savoir plus »

Pandémie au coronavirus COVID-19 et  contrefaçon médicamenteuse  

La contrefaçon médicamenteuse est un problème majeur et relativement ancien à l'échelle mondiale et particulièrement en Afrique sub-saharienne. La pandémie COVID 19 n'échappe pas à ce fléau pour des raisons psychosociales évidentes.
Propos colligés par Jacques Barrier [Cette adresse e-mail est protégée contre les robots spammeurs. Vous devez activer le JavaScript pour la visualiser.]Document sous l’égide du Conseil scientifique de la CIDMEF

Lire l'article »

Afrique Francophone Face au Covid-19

Selon le CDC, le Centre de prévention des maladies de l’Union africaine, le continent recensait ce mercredi 96 829 cas de Covid-19, et 3 031 décès dus à la maladie. Les États les plus touchés sont l’Afrique du Sud, l’Égypte, l’Algérie, le Maroc et le Nigeria. Alors que l'épidémie de Covid-19 se répandait à travers le monde, les instances internationales craignaient pour l'Afrique, considérée plus vulnérable. Pourtant, trois mois plus tard, le continent reste largement épargné par le virus, même si des inquiétudes subsistent....

En savoir plus » Chiffres par pays » Plans de riposte »

 

 

Documents et recommandations

Organisation de la lutte contre la COVID-19

Dernière Mise à jour du 17 mai 2020 par le groupe GREPI de la SPLF, sous la coordination du Pr P. Fraisse du service de Pneumologie du NHC Strasbourg.

document de référence, traite tous les aspects de la prise en charge de l'infection COVID.

Consulter le Diaporama »

Place des tests sérologiques dans la stratégie de prise en charge de la maladie COVID-19 selon la HAS

Cette évaluation détaille les indications et non-indications des différents types de tests sérologiques rapides et leurs articulations avec les tests RT-PCR et les tests sérologiques automatisables (ELISA).

En savoir plus »

Prise en charge des patients atteints de cancer dans le cadre de la pandémie COVID

Mise au point préparée par Dr Imen Gargouri, parue dans le bulletin de la STMRA, présentant une synthèse des recommandations du Groupe d’Oncologie de Langue Française (GOLF) et la Société Européenne d’Oncologie Médicale (ESMO) .

Consulter le document »

Évaluation du risque pour le retrait des travailleurs de la santé lors de soins à un cas confirmé COVID-19

Ces tableaux visent à déterminer les situations à risque justifiant le retrait d’un travailleur de la santé exposé lors de la prestation de soins à des cas de COVID-19, dans tous les milieux de soins.

Recommandations de l'institut national de santé publique du Québec

Télécharger le guide »

Recommandations pour la levée des mesures d’isolement des travailleurs de la santé

Ces recommandations ont été rédigées par le comité sur les infections nosocomiales du Québec,

Ce document est disponible intégralement en format électronique (PDF) sur le site Web de l’Institut national de santé publique du Québec au : http://www.inspq.qc.ca 

Télécharger le guide »

COVID-19 chez les enfants : facteurs de risque d’infections sévères et transmission

Ce document est une revue rapide de la littérature scientifique basé sur une recension rapide des publications et prépublications scientifiques, ainsi que de la littérature grise, rédigé par le comité sur les mesures populationnelles.
Source :  Institut national de santé publique du Québec, publié le 21 mai 2020. 

Télécharger le document »

Ressources utiles

Centre de documentation COVID-19
de la SPLF.
Informations aux professionnels de la santé :
page actualisée du site de la SPLF.
Haut Conseil de la santé publique. Avis relatif à l’opportunité d’un nettoyage spécifique ou d’une désinfection de l’espace public. 4 avril 2020
Ressources utiles du Collège Royal des Médecins et Chirurgiens du Canada.
COVID-19 Fiches pratiques
pour les équipes de soins en médecine de ville, milieu hospitalier, en réanimation et en EHPAD.
Ada COVID-19 : un site pour identifier les cas suspects. Utile pour les médecins, infirmiers et la population. Possibilité d’agréger les données pour des études de cohortes.
Prise en charge des patients atteints de COVID-19. Etat des connaissances Version du 14 Avril 2020.
Base documentaire de l’AP-HP sur le Covid-19
Santé mentale en période de pandémie : vidéos de l’Université de Montréal-Hôpital Sainte Justine, ainsi que des documents en annexe. 

 

 

 

Il y a déjà quelques semaines que nous communiquons périodiquement. Plusieurs pays sont dans la phase de déconfinement et chacun ne sait trop à quoi s’attendre. Alors que d’autres attendent encore une seconde vague en Afrique, on annonçait aux nouvelles ce matin, cinq nouveaux cas de COVID-19 à Wuhan, berceau initiateur du coronavirus. Est-ce le présage et le résultat d’un dé-confinement hâtif, d’un confinement insuffisant en temps et en nombre, est-ce la seconde vague que plusieurs annonçaient ? Ce qui est maintenant une réalité, c’est que, déconfinés, des pays voient surgir depuis quelques jours, de nouveaux cas de coronavirus. Notre comité éditorial est toujours très heureux de vous lire...

Carte en temps réel » Carte 3D » Statistiques en temps réel » Situation en Afrique » Prévisions à huit jours » Site de l'OMS »

 

Le chiffre des 12 000 publications COVID-19 est atteint !

Depuis le premier janvier 2020, 11956 publications sont référencées dans Pubmed, soit 90 publications par jour. Une pandémie nouvelle justifie des travaux de recherche partagés, au plus vite, par le plus grand nombre. Mais la quantité n’a jamais remplacé la qualité.
De nombreuses revues prédatrices ont profité du filon. Elles n’auront comme durée de vie que celle de la pandémie et sont financées par les auteurs-payeurs ou apparentés.
Fort heureusement, elles ne sont pas référencées dans Pubmed mais s‘ajoutent au chiffre des 12 000 publications !

La visioconférence du Dr Jean François Lemoine, le jeudi 7 mai, a été un succès : plus de 200 participants.
Après la visioconférence du Pr Antoine Flahault, épidémiologiste reconnu mondialement sur la COVID-19, nous avions besoin d’un point d’étape fait par un médecin journaliste expert qui suit l’actualité scientifique et sociétale au quotidien. Ces deux visioconférences sont disponibles sur le site de l’AUF et sur le site de l'EFP.

Prochaines visioconférences pandémie COVID-19

Jeudi 28 mai : Pr Pavel Hamet, médecin, chercheur et professeur titulaire au Québec, récipiendaire de la Chaire de recherche du Canada en génomique prédictive, professeur de médecine à l’Université de Montréal, professeur associé au département de médecine expérimentale à l’Université McGill et à la faculté de médecine de l’université Charles de Prague
Titre : Covid et hypertension: le voile se lève. Horaire: 16h heure de Paris, 10h heure de Montréal
Jeudi 4 juin :
Pr Jacques Barrier, professeur émérite Université de Nantes (France), ancien Président du Conseil pédagogique de la CIDMEF, ancien président de la Fédération des Spécialités Médicales (France)
Titre : Pandémie Covid-19 en Afrique: conséquences sociales Horaire: 16h heure de Paris
Jeudi 18 juin :
 Pr Bruno Crestani, chef de service de Pneumologie de l’hôpital Bichat – Claude-Bernard à Paris. Coordonnateur du centre de référence constitutif des maladies pulmonaires rares de l’adulte et du DHU FIRE (Fibrose, Inflammation et Remodelage).
Titre : prise en charge des patients atteints par le COVID-19 après la phase aigüe. Horaire : 16h heure de Paris

Visioconférences de l'EFP » Mode d'emploi »

Webinaire de la SPLF le 20/05/2020 de 18h à 20h

- Que sait-on de l’atteinte respiratoire ou systémique chez les patients asthmatiques, ou BPCO ?
- Quel est l’impact du traitement de fond ?
- Quid de la réhabilitation ?
Animation : Pr Chantal Raherison (Bordeaux) – Frédéric Coste (Clermont Ferrand)
Intervenants : Pr Camille Taillé (Paris) – Pr Pierre-Régis Burgel (Paris) – Dr Jean-Marie Grobois (Lille) ?

Webinaire du jeudi 14 mai 2020

- Quels tests biologiques à disposition ?
- Quels sont leur validité ?
- Quid des vaccinations ?
Présenté par Pr Bruno Lina de Lyon.

Voir en différé » Webinaires de la SPLF »

Webinaire de la STMRA du 16 Mai 2020

Visionner le webinaire »
 

AFD Covid-19 - Santé en commun » : le financement de projets en Afrique

Dans le cadre de l’initiative « Covid-19 - Santé en commun » lancée le 9 avril dernier, l’AFD annonce le financement de six nouveaux projets, pour un montant total de 12 millions d’euros, pour soutenir 16 pays africains. l’initiative « Covid-19 - Santé en commun »
Ces appuis ciblent en priorité l’Afrique subsaharienne et les pays de l’océan Indien. Ils répondent aux besoins urgents de recherche-action, surveillance, dépistage, définition des politiques sanitaires et de première prise en charge des patients.
Ces projets, en accord avec les autorités sanitaires des 16 États concernés, mobilisent des partenaires: l’Institut de recherche pour le développement (IRD), la Commission de l’océan Indien (COI), l’Institut Pasteur, la Fondation Mérieux, le Centre de recherche, d’étude et de documentation en économie de la santé (CREDES) et l’Alliance for International Medical Action (ALIMA).

En savoir plus »

Essai clinique et traitement : quelle éthique en cas d’urgence sanitaire ?

En ce temps de crise sanitaire, nous espérons tous trouver rapidement un traitement pour guérir le plus grand nombre. Les réponses mélangent croyance et connaissance et sont peu éthiques. Un excellent travail de quatre chercheuses toulousaines de l’Université de Toulouse-INSERM, nous aide à décrypter la situation "Essai clinique et traitement : quelle éthique en cas d'urgence sanitaire ?

En savoir plus » Recommandations Européennes »

Penser l’après : Sciences, pouvoir et opinions dans l’après Covid-19

Les chercheuses et les chercheurs qui contribuent chaque jour à alimenter notre média en partageant leurs connaissances et leurs analyses éclairées jouent un rôle de premier plan pendant cette période si particulière. En leur compagnie, commençons à penser la vie post-crise, à nous outiller pour interroger les causes et les effets de la pandémie, et préparons-nous à inventer, ensemble, le monde d’après.

Consulter l'article »

La lutte contre la pandémie COVID-19 au Gabon.

Le Pr Edouard Ngou-Milama interroge dans son pays d'Afrique centrale le format médico-social et scientifique de la pandémie et la responsabilité sociale de sa faculté de médecine.

Consulter l'article »

Evolution de la pandémie COVID-19 en Afrique subsaharienne francophone

La progression de la pandémie COVID-19 en Afrique subsaharienne francophone n’est pas aussi rapide qu’on le redoutait. Quelles sont les hypothèses ? Le groupe COVID Afrique U essaye d'en comprendre les raisons tout en étant prudent pour l'avenir

Consulter l'article »

Face au Covid-19, les clés du succès vietnamien

Bien qu'il partage une frontière terrestre avec la Chine - où la pandémie a débuté - et qu'il compte 97 millions d'habitants, le Vietnam n'a jusqu'à présent enregistré que 268 cas de la maladie, et pas un seul décès dû au Covid-19 (à la date du 23 avril).
Après avoir mobilisé sa population et déclaré une "guerre aux coronavirus", le pays a maintenant commencé à lever les restrictions et à autoriser la réouverture des écoles.
Comment ont-ils procédé ?

En savoir plus »

Le virus SARS-CoV-2, cause de la pandémie actuelle de Covid-19, peut infecter les cellules épithéliales respiratoires humaines par une interaction avec le récepteur humain ACE2 ou récepteur de l’enzyme de conversion de l’angiotensine 2. Le SARS-CoV-2 possède à sa surface une protéine nommée Spike ou protéine S ou protéine de pointe.
La protéine S joue donc un rôle important dans l’infection par le SARS-CoV-2 ainsi que dans l’induction des réponses des anticorps de neutralisation et des cellules T et dans l'immunité protectrice.
Une étude anglo-américaine diffusée sur le site de prépublication biorxiv a annoncé que des mutations de cette protéine S serait à l'origine de sa virulence, expliquerait que la souche du coronavirus SRAS-COV-2 présente en Europe et dans le reste du monde ne serait pas la même que celle qui a sévi les premiers jours de l’épidémie en Chine.
La protéine S est la “cible de la plupart des stratégies vaccinales et des thérapies à base d'anticorps, la survenue de nouvelles mutations pourrait rendre inefficace les vaccins contre la nouvelle forme du coronavirus.

En savoir plus » Article de l'APQ » Article Biorxiv »

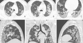
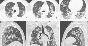
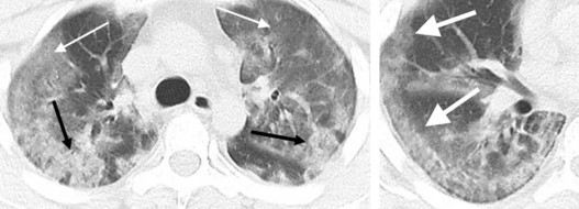
Imagerie thoracique au déconfinement

La Société d’Imagerie Thoracique (SIT) a émis, le 7 mai 2020, des recommandations relatives aux explorations pulmonaires pertinentes dans un contexte de déconfinement et de reprise d’activité.

Positionnement de la SIT »

COVID Reference France

COVID Reference est actuellement à sa troisième édition.
Au cours des mois à venir COVID Reference publiera des mises à jour régulières et fera état des données scientifiques disponibles avec le plus de cohérence possible.

Télécharger le guide »

Covid-19 : l'intelligence artificielle au secours des politiques sanitaires

L'objectif principal est de fournir aux décideurs locaux un outil d'aide à la décision dans cette situation de crise inédite.

En savoir plus »

Ressources utiles

Centre de documentation COVID-19 de la SPLF.
Informations aux professionnels de la santé: page actualisée du site de la SPLF.
Haut Conseil de la santé publique.
Avis relatif à l’opportunité d’un nettoyage spécifique ou d’une désinfection de l’espace public. 4 avril 2020
Ressources utiles du Collège Royal des Médecins et Chirurgiens du Canada.
COVID-19 Fiches pratiques
pour les équipes de soins en médecine de ville, milieu hospitalier, en réanimation et en EHPAD.
Ada COVID-19 : un site pour identifier les cas suspects. Utile pour les médecins, infirmiers et la population. Possibilité d’agréger les données pour des études de cohortes.
Prise en charge des patients atteints de COVID-19. Etat des connaissances Version du 14 Avril 2020.
Base documentaire de l’AP-HP sur le Covid-19
Santé mentale en période de pandémie : vidéos de l’Université de Montréal-Hôpital Sainte Justine, ainsi que des documents en annexe. 

 

 

Pour certains, la préoccupation est au déconfinement, tout en redoutant une seconde vague. Pour d’autres, c’est l’afflux, les soins, les décisions à prendre avec les autorités. A partir de quels éléments ?
Pubmed recense 8027 articles COVID-19 depuis le premier janvier 2020. Autant chercher une aiguille...
Les sociétés savantes publient des recommandations régulièrement mises à jour : nous vous les proposons.
Nous écoutons les experts et dialoguons par visioconférences organisées conjointement par la CIDMEF, la SPLF/EFP et l’AUF. Vous prenez des initiatives : nous sommes heureux de les partager avec vous..

Carte en temps réel » Carte 3D » Statistiques en temps réel » Situation en Afrique » Prévisions à huit jours » Site de l'OMS »

 

Visioconférence du 23 avril 2020

Intitulée « Le point sur l’épidémiologie du COVID-19 : le rationnel derrière les différentes interventions et les conditions du déconfinement (critères et modalités) » animée par le Pr. Antoine Flahault co-Directeur de la Swiss School of Public Health, Zürich, Directeur de l’Institut de Santé Globale, Faculté de Médecine, Université de Genève, Suisse.

Visioconférence » Diaporama »

La prochaine visioconférence, se tiendra 7 mai 2020 à 16h00 (heure de Paris) : « Le point sur la pandémie du COVID-19 » , animée par le Dr Jean François Lemoine, médecin-journaliste. Depuis le début de la pandémie, le Dr Lemoine participe à une émission de grande écoute, L’info du vrai, diffusée chaque soir à 18h00 sur la chaîne de télévision française Canal+. De ce fait, il a acquis une vision d’ensemble de cette pandémie qui est utile pour contextualiser les différentes interventions médicales et sociétales, dans chacun de nos pays. Connexion par Microsoft Teams avec Mac ou PC, en individuel ou dans les CNF de l'AUF. Cliquez sur ce lien communiqué par Catinca, AUF.
Il sera actif 15 minutes avant mais vous pouvez déjà le tester. Horaires : 10h heure de Montréal, 14h heure de Bamako, Dakar, Conakry, Abidjan, Bouaké et Ouaga, 15h heure de Tunis, Rabat, Alger, Kinshasa, Cotonou, Bangui et Libreville, 16h heure de Paris, 17h heure de Beyrouth, Damas, Antananarivo et Majunga, 18h heure de Maurice et la Réunion.

Rejoindre la réunion » Télécharger Teams » Mode d'emploi »

Coronavirus en Afrique : pourquoi la catastrophe annoncée n'a pas eu lieu ?

Les experts annoncent depuis des mois une déferlante de l'épidémie de coronavirus en Afrique, où la pauvreté et le manque d'infrastructures de santé font craindre le pire. Pourtant, alors que le premier cas remonte au 14 février sur le continent, la vague n'est toujours pas arrivée. Comment expliquer cette relative préservation ?

En savoir plus » L’épidémie COVID 19 au Mali »

Le vaccin BCG peut-il protéger contre la COVID-19?

L’Agence Universitaire de la Francophonie lance un appel à projets international pour soutenir des initiatives d’étudiant.e.s, d'élèves-ingénieurs et de jeunes chercheur.e.s liées à la pandémie. Un fonds exceptionnel de 500 000 euros est consacré à cet appel. Des projets de moins de 10 000 euros jusqu'à 50 000 euros pourront être financés. L'appel est ouvert jusqu'a ce jour le 3 mai 2020.

En savoir plus »

Regain d’intérêt pour le zithromax après des résultats ambigus sur l’hydroxychloroquine

Il est grand temps de tester des protocoles avec l’azithromycine seule dans les infections de type COVID compte tenu de ses propriétés antiinfectieuses, y compris antivirales, mais aussi antiinflammatoires. Son profil pharmacologique est très favorable aux doses antibactériennes comme immunomodulatrices. Rédaction : Pr Laurent Nicod

Lire l'article » Tous les articles relatifs au COVID »

Etudes et appels d’offres

Proposition de protocole de recherche Francophone sur l'hydroxychloroquine

La société Libanaise de Pneumologie a mis en place un protocole d'étude visant à apprécier si l’hydroxychloroquine protège les soignants d’une contamination au Covid 19.
Si nous démontrons une efficacité préventive de cette molécule, cela pourrait impacter fortement certaines décisions de santé publique.
Une étude similaire a été lancée par l'AP-HP intitulé Essai PREP COVID testant la prévention de l'infection COVID chez les soignants par l'hydroxychloroquine et par l'azithromycine et ayant démrré le 14 avril 2020.

Protocole de l'étude » Formulaire de l'étude » Essai PREP COVID »

Résultats de l'enquête un jour donné auprès des services de pneumologie COVID-19

Enquête réalisée sous l’égide du Pr Fraisse de Strasbourg et du Grepi (Groupe de recherche et d’enseignement de Pneumo-infectiologie) de la SPLF, à renouveler tous les 15 jours jusqu’à la fin de la phase épidémique puis d’endiguement de l’épidémie de Covid-19.
Nous vous remercions de participer à l’étude du Pr Fraisse, le formulaires est accessible en cliquant sur ce lien, il s'agit d'un petit questionnaire qui prend 3 minutes à compléter.
Vous trouverez dans le document à télécharger la synthèse des résultats avec les chiffres complets dont les réponses des services de l’Espace francophone et des doyens de faculté étrangers.
A côté vous pouvez télécharger la dernière version du document complet relatif à l'organisation de lutte contre le COVID-19 rédigée par le Pr Fraisse.

Données de l'étude » Organisation de lutte contre le COVID-19 »

Enfin , la SPLF va mettre en place une étude de cohorte concernant le suivi à distance des patients "COVID". ( hyperréactivité bronchique séquellaire ? processus fibrosant chronique ? autres séquelles ? )
Toutes les sociétés savantes de l’EFP, toutes les équipes libérales ou hospitalières prenant en charge des patients Covid sont invités à participer et peuvent en ce sens contacter conjointement le Pr Khayat : Cette adresse e-mail est protégée contre les robots spammeurs. Vous devez activer le JavaScript pour la visualiser. et le Dr Soyez : Cette adresse e-mail est protégée contre les robots spammeurs. Vous devez activer le JavaScript pour la visualiser. sont les bienvenues pour apporter leurs idées et plus tard leur contribution.

Dossier INFOX du groupe COVID Afrique U

Les enseignants et les étudiants en santé doivent s’engager énergiquement dans la lutte contre les informations non scientifiques qui polluent la prise en charge de la pandémie COVID-19 en Afrique.
Ce dossier élaboré par des universitaires de 11 pays d'Afrique francophone fait le point sur ces fausses informations, leurs conséquences sociales graves et propose des pistes de solution pragmatiques. Propos colligés par Jacques Barrier [ Cette adresse e-mail est protégée contre les robots spammeurs. Vous devez activer le JavaScript pour la visualiser. ] Sous l’égide du Conseil scientifique de la CIDMEF

Télécharger le document »

Projet d’appui à la recherche-action sur la pandémie et à la définition de la riposte africaine à l’épidémie de Covid-19 – ARIACOV

Un projet qui vis à accompagner les autorités du Bénin, du Cameroun, du Ghana, de Guinée, de République démocratique du Congo et du Sénégal dans l’élaboration et le renforcement des stratégies nationales de riposte à l’épidémie de Covid-19 » Projet de recherche-action Ariacov (Appui à la riposte africaine à l’épidémie de Covid-19) de l’Institut de recherche pour le développement IRD.
D’une durée de deux ans, il est financé par l’AFD (Agence française de développement) à hauteur de 2,2 M€.

En savoir plus »

 

Afin d’assurer un accès immédiat aux revues systématiques pertinentes, la présente Collection spéciale de la Bibliothèque Cochrane réunit les Revues Cochrane identifiées comme les plus directement utiles dans la prise en charge des patients hospitalisés pour des infections respiratoires aiguës sévères.
Elle inclut des revues qui concordent avec les lignes directrices provisoires de l’OMS sur l’épidémie de coronavirus de 2019-2020 (28 janvier 2020) et d’autres identifiées par le groupe de travail « Soins aigus et d’urgence » de Cochrane.
Cette Collection spéciale inclut des Revues Cochrane sur les sujets suivants : supplémentation hydrique et traitement vasopresseur, assistance respiratoire et ventilation mécanique, sevrage de la ventilation mécanique, prise en charge de l’hypoxémie, traitement médicamenteux et nutrition en soins intensifs.

Collection spéciale des Revues Cochrane »

Formation en imagerie COVID

La Société d’imagerie thoracique et la Société Française de Radiologie mettent à disposition régulièrement des cours de formations à l’usage des radiologues et des manipulateurs au fur et à mesure de l’avancée de nos connaissances de cette nouvelle maladie. Vous trouverez au sein des ces cours des informations sur l’épidémiologie de cette infection, sur la place de l’imagerie mais également les différentes mesures de protection au quotidien.

Consulter les cours en ligne »

La société Tunisienne des maladies Respiratoires et d'Allergologie STMRA publie régulièrement des bulletins d'information avec une mise au point et revue de la littérature sur un aspect particlulier de l'infection COVID.
Trois sujets ont été traités : La prévention et traitement des complications thrombo-emboliques des patients COVID-19 hospitalisés, l'infection COVID et les sujets âgés et une dernière sur les précautions à prendre en milieu de soins lors du déconfinement.

Consulter le site »

Les réactions des Etats face à la pandémie ont montré que le sort des populations a été considéré comme plus important que celui de l’économie. Il faut poursuivre dans cette voie et renforcer les solidarités internationales.
Contre la pandémie, deux solutions étaient possibles. La «voie réaliste» dite de «l’immunisation collective» consistait pour un pays à choisir de sauver son économie en sacrifiant une (faible) partie de sa population, la moins productive, en attendant que le virus cesse de se répandre...

Par Francis WOLFF

Consulter l'article »

Ressources utiles

Haut Conseil de la santé publique.
Avis relatif à l’opportunité d’un nettoyage spécifique ou d’une désinfection de l’espace public. 4 avril 2020
Ressources utiles du Collège Royal des Médecins et Chirurgiens du Canada.
COVID-19 Fiches pratiques
pour les équipes de soins en médecine de ville, milieu hospitalier, en réanimation et en EHPAD.
Ada COVID-19 : un site pour identifier les cas suspects. Utile pour les médecins, infirmiers et la population. Possibilité d’agréger les données pour des études de cohortes.
Prise en charge des patients atteints de COVID-19. Etat des connaissances Version du 14 Avril 2020.
Base documentaire de l’AP-HP sur le Covid-19
Santé mentale en période de pandémie : vidéos de l’Université de Montréal-Hôpital Sainte Justine, ainsi que des documents en annexe. 

 

 

 

Le point sur l'épidémie COVID-19

L'épidémie de COVID-19 continue à se propager, elle vient de franchir la barre de 2 millions de personnes atteintes par le coronavirus SARS-Cov2 dans le monde, avec 137.000 morts et 517.000 personnes guéries depuis le début de l'épidémie. Les USA restent actuellement le pays le plus touché avec 639.664 cas dont 30.985 décès. 193 pays et territoires sont actuellement concernés par l'épidémie, l’Europe reste à cette date l’épicentre de la pandémie avec plus de 84.000 décès.
L'Afrique reste pour l'heure relativement épargnée par l'épidémie, avec un total de quelque 15.300 cas officiellement recensés pour 835 morts, ces chiffres sont à analyser avec précaution, de nombreux experts continuent à redouter une catastrophe sanitaire sur ce continent.
Le confinement reste la règle dans la majorité des pays, une stratégie de reprise de l'activité, est actuellement en cours d'étude appelée à être graduelle pour éviter une deuxième vague plus mortelle que la première.

Carte en temps réel » Carte 3D » Statistiques en temps réel » Situation en Afrique » Site de l'OMS »

 

Vos courriers

A Toamasina, nous avons initié une étude intitulée « Considération des recommandations sanitaires actuelles contre la pandémie de COVID 19 par les malgaches. Cas de la ville de Toamasina ».

Ralandison Stéphane, Doyen de la Faculté de Médecine de Toamasina, Madagascar.

Message très bien reçu. Prof. Benjamin FAYOMI Coordonnateur Régional CoPES-AOC Cotonou Benin

Dans le but de partage d'expériences et de conduites de pays de l'EFP, nous vous proposons l'expérience Tunisienne à travers ce guide de parcours de soins du patient suspect ou atteint par le Covid-19, validé par les experts de l'INEAS (agence national d'évaluation et d'accréditation en santé) et repris par Dr Souissi Zouhair sous forme d'un diaporama de navigation interactive.

Télécharger le guide » Télécharger le diaporama »

Ressources utiles

Haut Conseil de la santé publique. Avis relatif à l’opportunité d’un nettoyage spécifique ou d’une désinfection de l’espace public. 4 avril 2020
COVID-19 Fiches pratiques pour les équipes de soins en médecine de ville, milieu hospitalier, en réanimation et en EHPAD.
Ada COVID-19 : un site pour identifier les cas suspects. Utile pour les médecins, infirmiers et la population. Possibilité d’agréger les données pour des études de cohortes.
Prise en charge des patients atteints de COVID-19. Etat des connaissances Version du 14 Avril 2020.
Base documentaire de l’AP-HP sur le Covid-19
Santé mentale en période de pandémie : vidéos de l’Université de Montréal-Hôpital Sainte Justine, ainsi que des documents en annexe. 

Séance questions-réponses sur l’organisation de la lutte contre l'infection COVID-19, présentée par le Pr Philippe Fraisse, CHU de Strasbourg.

Cette visioconférence a été suivie par 20 centres d’Afrique du nord et sub-saharienne, au Moyen Orient, du Canada et de France. Elle a montré le besoin d’informations concrètes et la nécessité de partager les stratégies et mutualiser les expériences. Cette visioconférence est disponible sur le site SPLF/EFP et sur le site de l’AUF.
Veuillez trouver aussi les résultats de l’enquête de la semaine du 24 mars 2020, qui compare les réponses des services de pays francophones hors France avec les réponses des services situés en France (métropole et Outre-mer).

Visioconférence » Diaporama » Résultats de l'étude »

La prochaine visioconférence, se tiendra le jeudi 23 avril, elle est présentée par Pr. Antoine Flahault, Co-Directeur de la Swiss School of Public Health, Zürich, Directeur de l'Institut de Santé Globale, Faculté de Médecine, Université de Genève, Suisse.
Thème : le point sur l’épidémiologie du covid19. Le rationnel derrière les différentes interventions et les conditions du déconfinement (critères et modalités).
Connexion par Microsoft Teams avec Mac ou PC, en individuel ou dans les CNF de l'AUF. Cliquez sur ce lien communiqué par Catinca, AUF.
Il sera actif 15 minutes avant mais vous pouvez déjà le tester.
Horaires : 10h heure de Montréal, 14h heure de Bamako, Dakar, Conakry, Abidjan, Bouaké et Ouaga, 15h heure de Tunis, Rabat, Alger, Kinshasa, Cotonou, Bangui et Libreville, 16h heure de Paris 17h heure de Beyrouth, Damas, Antananarivo et Majunga, 18h heure de Maurice et la Réunion.

Rejoindre la réunion » Télécharger Microsoft Teams »

Prise en charge pneumologique hors réanimation des patients COVID

Cet article très didactique à télécharger de Claudio Rabec et Jésus Gonzales intitulé : « Procédure de prise en charge pneumologique hors réanimation des patients hospitalisés dans le cadre de la pandémie COVID19 », résume l’état des connaissances sur les modalités de prise en charge non médicamenteuses, avant le transfert en réanimation, des patients Covid avec pneumopathie sévère.

Manuel de référence COVID 2ème Edition version française

Ce site vous propose un manuel de référence analysant les données de la littérature et des données scientifiques et une rubrique exposant le meilleur de la littérature COVID du jour.

Guide COVID » Bibliographie quotidienne »

Anticovid : un site qui recense les études sur le COVID-19 dans le monde

Plateforme ouverte et librement accessible qui recense l’ensemble des études cliniques menées dans le monde sur le COVID 19, diagnostiques, interventionnelles ou observationnelles.


Dans le cadre de son plan d'actions spécial COVID-19, l’Agence Universitaire de la Francophonie lance un appel à projets international pour soutenir des initiatives d’étudiant.e.s, d'élèves-ingénieurs et de jeunes chercheur.e.s liées à la pandémie. Toute initiative ayant un impact technologique, économique et/ou social évaluable à très court terme est éligible. Un fonds exceptionnel de 500 000 euros est consacré à cet appel. Des projets de moins de 10 000 euros jusqu'à 50 000 euros pourront être financés. L'appel est ouvert jusqu'au 3 mai 2020.

Un appel exceptionnel à contribution éditoriale thématique est lancé, pour une durée indéfinie, visant à recueillir des propositions d’articles qui rapportent des réflexions, des enquêtes ou des travaux originaux, des partages de pratiques ou des retours d’expérience, en lien avec la problématique énoncée ci-dessus.

Toutes les propositions devront être soumises en ligne sur le site de la revue.

Des études ont débuté 

Réflexions sur le confinement lors de la pandémie COVID-19 en Afrique subsaharienne : constat, réalités psychosociales et préconisations.
Participants au groupe, tous de rang universitaire dans le domaine de la santé et ayant ou ayant eu des responsabilités importantes dans leurs différentes institutions et pays : Naby Balde (Guinée), Raphaël Darboux (Bénin), Isidore Mohenou Diomandé (Côte d’Ivoire), Gérard Grésenguet (Centrafrique), ...

Télécharger le document »

Des études vont débuter 

Du Virus H1N1 à la maladie à virus Ebola à la pandémie Covid-19.
Marie Cauli, JP Francke, Ralph Ankri, Erwan Lequentrec.

Proposition de protocole de recherche Francophone sur l'hydroxychloroquine 

La société Libanaise de Pneumologie a mis en place un protocole d'étude visant à apprécier si l’hydroxychloroquine protège les soignants d’une contamination au Covid 19.
Tous les centres prenant en charge des patients Covid sont invités à participer et peuvent en ce sens contacter conjointement le Pr Khayat : Cette adresse e-mail est protégée contre les robots spammeurs. Vous devez activer le JavaScript pour la visualiser. et le Dr Soyez : Cette adresse e-mail est protégée contre les robots spammeurs. Vous devez activer le JavaScript pour la visualiser..
Nous serions heureux de connaitre le nombre de centres volontaires dans les 8 jours : il convient de faire cette étude avant que certains pays ne soient trop touchés . Si nous démontrons une efficacité préventive de cette molécule, cela pourrait impacter fortement certaines décisions de santé publique . 

Protocole de l'étude » Formulaire de l'étude »
 

 

 

Sommes-nous tous égaux face au confinement ?

Je vous remercie pour ces documents que je ne manquerai pas de conseiller à mes collègues à l’hôpital.
Le confinement est en effet une attitude qui je pense mérite une discussion, surtout pour un pays comme Madagascar (et beaucoup d’autres pays d’Afrique je pense) où le niveau d’éducation/scolarisation de la population est aussi faible que le niveau socioéconomique. Conseiller le confinement a plus entraîné l’effet contraire car beaucoup se ruent sur les produits de première nécessité, vers les dons, à cela s’ajoute l’insouciance de la population face à la pandémie.
Nous avons vécu notre première semaine de confinement, il a été plus que partiel…. La précarité de plus de 80% des malgaches ne leur permettront pas de tenir un confinement de plusieurs semaines, au risque de déclencher d’autres crises sociales et économiques….
Je vous partage cette expérience et aimerai avoir vos avis sur la meilleure attitude conseillée pour un pays comme le nôtre. Personnellement, je pense que le confinement ne peut être effectif, donc inutile et source d’autres problèmes économiques, financiers et sociaux. Le plus important c’est la distanciation sociale et les règles d’hygiène de base. Malheureusement, ça va être la sélection naturelle pour nous, car le système de santé est trop fragile. Espérons que cette sélection soit dans le bon sens avec le jeune âge de la population.
Il faut surtout confiner ceux qui sont les plus fragiles. Avec une « infection rapide » de la population, espérons qu’il y ait une immunisation efficace qui s’installe rapidement également.

Stéphane Ralandison; Doyen de la Faculté de Médecine de Toamasina (Madagascar)

Expériences d'accueil et de prise en charge des patients atteints d'infection COVID dans l'EFP

La pandémie au nouveau coronavirus SARS-Cov2 gagne du terrain et menace le monde Francophone, partout, les hôpitaux se préparent pour recevoir les patients dans leurs services, nous remercions le Pr Agnès Hamzaoui de Tunis et le Pr Souhil Tliba de la Wilaya de Bejaia de nous avoir transmis et voulu partager leurs plans d'organisation pour accueillir les patients COVID.

Organisation des soins. Pr Agnès Hamzaoui Tunis » Organisation des structures d'accueil Pr Souhil Tliba Bejaia »

En Algérie, nous sommes en début du cauchemar. L'expérience de l’Italie a frustré la population. Le confinement est largement respecté contrairement à ce qu'on attendait.
Je suis dans la cellule de crise à Bejaia et je collabore fortement avec les autorités locales (Wali, autorités sécuritaires et judiciaires) bien évidement avec des collègues de la santé et de l'université.
Je te joins un plan d'action que j'avais proposé les premiers jours. Nous avons mis en place plusieurs modules de ce plan. Merci à toi à monsieur BARRIER et aux amis de la CIDMEF.

Souhil Tliba, Doyen de la Faculté de Médecine de Bejaia (Algérie)

Tout le monde est confiné sauf ceux qui ont un laisser passer pour aller travailler nominatif (un million et demi de personnes).
D’où de grandes tensions sociales. Mon service est dédié COVID depuis près d'une semaine.
Nous avons écrit des procédures, dictées par la pratique. Si tu veux, je pourrais te les envoyer pour adaptation.

Agnès Hamzaoui, Tunis

La Côte d'Ivoire vient de dépasser la barre de 100 cas et heureusement 00 décès.
Mon collègue des Maladies Infectieuses et moi-même participons aux actions du comité régional de lutte contre les épidémies et suis active dans la sensibilisation/formation des agents de santé.
L'union fait la force!

Chantal Akoua-Koffi, Doyenne de la Faculté de Médecine d’Abidjan (Côte d’Ivoire)

Bonjour à tous. Félicitations pour l'initiative concernant le Coronavirus. Je prends date pour le 16 avril 16h de Paris. Excellent week-end dans le respect strict des recommandations pour la riposte contre le Coronavirus.
Delphin k Mehinto Doyen de la Faculté des Sciences de la Santé de Cotonou (Bénin)

Message bien reçu. Merci les efforts fournis pour nous informer. Ibrahima thierno Diallo (Conakry)
Merci infiniment Yousser Mohamad (Damas) La barre des 1000 preprints COVID-19 a été dépassée ; et plus de 1500 articles publiés après peer-review expédié... tout ça en 3 mois... inquiétant pour la qualité de la littérature, rassurant pour les CV. Hervé Maisonneuve. www.redactionmedicale.fr

En Afrique, « agir au plus vite pour éviter l’hécatombe». Denis Mukwege, Prix Nobel de la paix, alerte sur l’urgence sanitaire et la précarité du système de soins dans les pays du continent. Journal « Le monde » du 01/04/2020. Sur demande.

Des études ont déjà débuté

Premières réflexions sur les conséquences psychosociales de la pandémie COVID 19 en Afrique subsaharienne francophone.29 mars 2020.
J Barrier (Nantes) avec Naby Balde (Guinée), Raphaël Darboux (Bénin), Isidore Diomandé (Côte d’Ivoire), Gérard Grésenguet (Centrafrique), Abdel Karim Koumaré (Mali), Méliane Ndhatz (Côte d’Ivoire),
Edouard Ngou-Milama (Gabon), Rivo Andry Rakotoarivelo et Luc Samison (Madagascar), Martin Sanou (Burkina Faso), Ekoe Tetanye (Cameroun), Meissa Touré (Sénégal).

En savoir plus »

Ou vont débuter

Du Virus H1N1 à la maladie à virus Ebola à la pandémie Covid-19.
Ainsi que l’a rappellé Erwan Lequentrec, dans le cadre de la maladie à virus Ebola dont la flambée a sévi en 2014-2016 en Afrique de l’Ouest, nous avions été dès 2015 amené au nom de l’AUF et de la CIDMEF a proposer avec Orange Labs un dispositif expérimental de formation et de recherche-Action dont les différents axes sont détaillés dans l’annexe 2 de l’ouvrage publié par Marie Cauli, ...

Marie Cauli, JP Francke, Ralph Ankri, Erwan Lequentrec.

En savoir plus »

Attention changement de date ! Visioconférence : jeudi 9 avril, 16h heure de Paris : séance questions-réponses sur le COVID-19

Visioconférence assurée par le Pr Philippe Fraisse, responsable santé publique – Groupe pour la recherche et l’enseignement en infectiologie de la SPLF; CHU de Strasbourg.
Initialement programmée le 16 avril, elle a été avancée pour ce jeudi 9 avril à partir de 16h suite à votre demande.
Connexion par Microsoft Teams avec Mac ou PC, en individuel ou dans les CNF de l'AUF. Cliquez sur ce lien communiqué par Catinca, AUF.
Il sera actif 15 minutes avant mais vous pouvez déjà le tester.
Horaires : 10h heure de Montréal, 14h heure de Bamako, Dakar, Conakry, Abidjan, Bouaké et Ouaga, 15h heure de Tunis, Alger, Kinshasa, Cotonou, Bangui et Libreville, 16h heure de Paris 17h heure de Beyrouth, Damas, Antananarivo et Majunga, 18h heure de Maurice et la Réunion.
Veuillez trouver aussi les résultats de l’enquête de la semaine du 24 mars 2020, qui compare les réponses des services de pays francophones hors France avec les réponses des services situés en France (métropole et Outre-mer).

Rejoindre la réunion » Diaporama 3 avril » Résultats de l'étude »

Guide autosoins - COVID-19 du Québec

Ce que vous devez savoir et ce que vous devez faire pour protéger votre santé et la santé des autres, veuillez trouver ici d'autres documents utiles :
Distanciation sociale
La grossesse, les femmes enceintes et les nouveaux-nés
Les soins à apporter si un enfant est infecté.

Télécharger le Guide autosoins »

Comment fabriquer un masque de soin en tissu

Le CHU de Grenoble vous propose ce document pour vous permettre de concevoir un masque en tissu.

Télécharger le guide »
 

 

 

Pandémie mondiale de COVID-19 : un bilan dramatique

La pandémie de Covid-19 continue à se propager à travers le monde, elle a infecté 826 222 personnes dans le monde et a causé plus de 40 000 morts et s’est étendue à plus de 180 pays.
Plus de la moitié de la population mondiale est confinée à cause de la forte contagion de ce virus. Les Etats-Unis recensent le plus grand nombre de cas avec 174 467 malades.
En Europe, l'Italie a franchi la limite des 105 000 cas et dépassé les 12 000 morts. Le bilan grossit également en Espagne où 94 417 personnes sont infectées par le coronavirus et plus de 8 200 en sont mortes. En France, 45 232 cas positifs sont confirmés le 31 mars, près de 21 000 personnes sont hospitalisées, et 3 032 décès sont à déplorer dans les hôpitaux du territoire, soit 418 de plus que la veille alors que le nombre de cas double tous les trois à quatre jours.
L’Afrique est de plus en plus touchée par le nouveau coronavirus doit “se préparer au pire” selon l’OMS. Une quarantaine de pays du continent est désormais contaminée par le COVID-19, avec une forte augmentation ces derniers jours dans certains pays en particulier.
Le bilan au Moyen-Orient est particulièrement contrasté : alors que l'épidémie fait rage en Iran, la situation des autres pays de la zone est bien plus sous contrôle.
Cette carte vous permet de suivre instantanément l'évolution épidémiologique de la pandémie dans le monde.

Carte en temps réel » Carte 3D » Statistiques en détail » Situation en Afrique » Site de l'OMS » Site du CDC »

Visioconférence : Questions-réponses sur le COVID-19

Le jeudi 16 avril, à 16h heure de Paris vous êtes cordialemment invités à participer à une visioconférence sous forme de séances de questions-réponses sur le COVID-19. Cette séance est animée par le Dr Philippe Fraisse, responsable santé publique – Groupe pour la recherche et l’enseignement en infectiologie de la SPLF ; CHU de Strasbourg. Connexion par Microsoft TEAMS.
Le lien sera communiqué par l'AUF dans les jours qui précèdent.

Télécharger Microsoft Teams » Webinar »

Centre de documentation COVID-19 du site de la SPLF

Plusieurs centre de documentation sur COVD-19 sont proposés.
Vous trouverez dans ces bases documentaires une doucmentation riche et variée libres d'accès, nous vous proposons dans cette rubrique plusieurs sources dont celui de la SPLF, du CPHG,  de l'APHP, de la SPILF du groupe de Coordination Opérationnelle en Réseau du Risque Épidémique et Biologique (COREB) et celle du ministère des solidarités et de la santé.

SPLF » SPILF » CPHG » COREB » APHP »

Recommandations d'experts et documents utiles

Epidémie de Covid-19 : Point sur l'imagerie

La France est actuellement en situation épidémique de stade 2 vis-à-vis du SARS-Cov-2, et la sollicitation des structures radiologiques, qu'elles soient hospitalières ou non, devient plus importante.
Cette montée en charge nécessite de clarifier le rôle de l'imagerie dans ce contexte épidémique :
1. Quelles sont les indications d'imagerie et quel type d'examen réaliser ?
2. Et quelles précautions prendre pour les manipulateurs et radiologues ?

Imagerie COVID » COVID-19 : Rôle du radiologue Pr Antoine Khalil »
 

la collection spéciale de la Bibliothèque Cochrane qui réunit les Revues Cochrane identifiées comme les plus directement utiles dans la prise en charge des patients hospitalisés pour des infections respiratoires aiguës sévères, vous assurant un accès immédiat aux revues systématiques pertinentes. La collection inclut des revues qui concordent avec les lignes directrices provisoires de l’OMS sur l’épidémie de coronavirus de 2019-2020 et d’autres identifiées par le groupe de travail « Soins aigus et d’urgence » de Cochrane.
Les sujets suivants sont traités : supplémentation hydrique et traitement vasopresseur, assistance respiratoire et ventilation mécanique, sevrage de la ventilation mécanique, prise en charge de l’hypoxémie, traitement médicamenteux et nutrition en soins intensifs.

Dossier Spécial COVID-19 » Cochrane Actualités et Ressources »

COVID-19 : Gestion d’un afflux massif de malades »
https://www.youtube.com/watch?v=GjKkJSJO1II&feature=share&fbclid=IwAR3bV6Je9Mpv1vI1utfTv1-lgeVy8qJaJ1bKDFUBOHCCt24uN8jxr6LHl8Q

COVID-19 : point Hebdo SFAR »


Habillage et déshabillage des soignants »

Ressources Bibliographiques

SPLF : Centre de documentation COVID-19
ASM : American Society of Microbiology

BMJ : The British Medical Journal
Cambridge Univesity Press
CDC : Centers for Disease Control and Prevention
Cell Press
JAMA
Lancet
The New England Journal of Medicine
Oxford University Press
PLOS
Springer Nature
Taylor & Francis
Web of Science
OMS : L'organisation mondiale de la santé
Wiley

 

 

Epidémie au nouveau Coronavirus «SARS-CoV-2», COVID-19

La propagation du coronavirus (Covid-19) s'affaiblit de jour en jour en Chine, pays où il est apparu fin 2019, alors qu'elle virus continue de se diffuser à grande vitesse  dans le reste du monde et notamment en Europe. A ce jour, plus de 150 pays sont touchés par le coronavirus et nombreux sont ceux qui ont instauré des mesures de restriction des sorties et de fermeture de leurs frontières afin de limiter la prolifération du virus.
En Europe, c'est notamment le cas de la France qui est en confinement depuis mardi 17 mars à midi et qui voit le nombre de cas augmenter encore ce mercredi soir à 9136 cas et 264 décès. En Italie la situation est de plus en plus explosive, en effet, elle a enregistré un nombre record de décès soit 475 personnes  ce mercredi, le pire bilan journalier pour un pays depuis le début de la pandémie.
D'autres pays comme l'Espagne, l'Allemagne, le Portugal et l'Angleterre  sont aussi particulièrement touchées.
L’Afrique est de plus en plus touchée par le nouveau coronavirus, certes dans une moindre mesure que dans les pays outre-Atlantique, mais le continent fait davantage l’expérience du COVID-19 alors qu’une vingtaine de pays est désormais contaminés. à citer par exemple : Algérie : 67, Maroc : 44, Sénégal : 31 Tunisie : 29, Burkina Faso : 20, Cameroun : 13, Rwanda : 8, RDC : 7, Ghana : 6, Côte d’Ivoire : 6.
Nous avons le plaisir de les partager avec vous un certain nombre de recommandations et de documents utiles dans la prise en charge de cette épidémie.

Guide » Organisation de la lutte » Reco Endoscopie » Reco PEC Ambulatoire » Reco EFR » Diapo COVID-19 »

COVID-19 : sources bibliographiques d'information

Nous vous invitons à consulter ce document qui regroupe les regroupe le meilleur des sources d'information sur l'infection à coronavirus COVID-19, il suffit de scanner le code QR de chacune des bases de données pour y accéder.
Vous trouverez en bas le détail des sources avec les liens respectifs.

Télécharger le document »

Apnées du sommeil, pression positive continue et coronavirus (COVID-19)

La SFRMS et le groupe sommeil de la SPLF et la FFP ont souhaité apporter des éléments de réponse à certaines questions que les patients ou soignants se posent au sujet du syndrome d’apnées du sommeil (SAS) et de son traitement par pression positive continue (PPC) dans le cadre de l’épidémie de COVID-19

Consulter les recommandations »

Prise en charge en réanimation des patients en période d’épidémie à SARS CoV2

Ces recommandations ont été émises par ces sociétés savantes : SRLF, SFAR, SF2H, SPILF et GFRUP à la date du 9 mars 2020.
Elles ont pour objet de fournir aux cliniciens les éléments essentiels de la prise en charge des patients suspects ou ayant une infection confirmée d’infection à SARS CoV2.

Synthèse des Recommandations »

Covid-19 : Une carte en temps réel pour suivre l'évolution de l'épidémie dans le monde

La carte, disponible ici, a été mise au point par des chercheurs de l’université américaine Johns-Hopkins.
Elle répertorie tous les cas confirmés à travers la planète, ainsi que ceux suspectés. Elle est mise à jour en temps réel.
Le site retrace également l’évolution du phénomène depuis son apparition au début de l’année.

Carte interactive » Statistiques et recherche »

COVID-19 : Quels options thérapeutiques ?

La course mondiale pour trouver vaccins et traitements contre le coronavirus est lancée, alors qu'un premier essai clinique est en cours aux Etats-Unis.
Le traitement repose essentiellement sur des soins intensifs, l'oxygénation, la ventilation et la gestion des fluides. Le traitement combiné des corticostéroïdes systématiques à faible dose et des antiviraux et l'inhalation  de l'interféron ont été largement proposés. ces articles vous proposent un tour d'horizon sur les options thérapeutiques disponibles.

Critical Care » Therapeutic Agents and Vaccines »

Ressources Bibliographiques

ASM : American Society of Microbiology : https://asm.org/Press-Releases/2020/COVID-19-Resources
BMJ : The British Medical Journal : https://www.bmj.com/coronavirus
Cambridge Univesity Press : https://www.cambridge.org/core/browse-subjects/medicine/coronavirus-free-access-collection
CDC : Centers for Disease Control and Prevention : https://www.cdc.gov/coronavirus/2019-ncov/index.html
Cell Press : https://www.cell.com/2019-nCOV Elsevier : https://www.elsevier.com/connect/coronavirus-information-center
JAMA : https://jamanetwork.com/journals/jama/pages/coronavirus-alert
Lancet : https://www.thelancet.com/coronavirus
The New England Journal of Medicine : https://www.nejm.org/coronavirus
Oxford University Press : https://academic.oup.com/journals/pages/coronavirus?cc=us&lang=en&
PLOS : https://blogs.plos.org/plos/2020/01/novel-coronavirus-2019-ncov-outbreak
Springer Nature : https://www.springernature.com/gp/researchers/campaigns/coronavirus
Taylor & Francis : https://newsroom.taylorandfrancisgroup.com/coronavirus-reading-list
Web of Science : https://clarivate.com/coronavirus-resources
WHO : The World Health Organization : https://www.who.int/emergencies/diseases/novel-coronavirus-2019/global-research-on-novel-coronavirus-2019-ncov
Wiley : https://novel-coronavirus.onlinelibrary.wiley.com

 
Page 1 sur 2

Search